Cabinet des Docteurs Tarissi et Harlet
Chirurgien-Dentiste à Lens (62)
47 Avenue de Varsovie, 62300 LENS
+33 3 21 78 97 97
Cabinet des Docteurs Tarissi et Harlet
Chirurgien-Dentiste à Lens (62)

Blog - Page 28

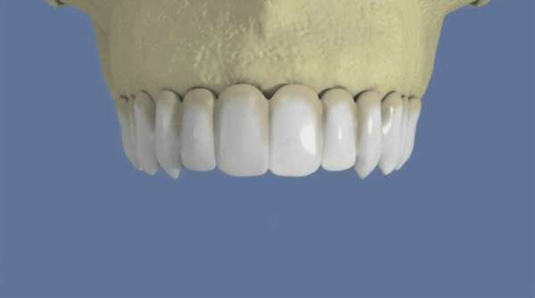
Maxillaire : all-on-4

Maxillaire : all-on-4

Maxillaire all-on-6 et comblement de sinus

Maxillaire all-on-6 et comblement de sinus

Maxillaire : bridge vissé sans fausse gencive

Maxillaire : bridge vissé sans fausse gencive

Maxillaire : bridge complet scellé sans fausse gencive

Maxillaire : bridge complet scellé sans fausse gencive

Maxillaire complet et traitement implantaire pour un bridge fixe scellé

Maxillaire complet et traitement implantaire pour un bridge fixe scellé

Maxillaire complet et traitement implantaire pour un bridge fixe vissé

Maxillaire complet et traitement implantaire pour un bridge fixe vissé

Affichage des articles 163-168 sur 170

Création par Webdentiste

Connexion